Advertisement

Bilateral Pleural Effusion Cxr - View Image : So pleural effusion is seen on a chest x.

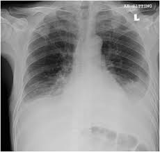
Bilateral Pleural Effusion Cxr - View Image : So pleural effusion is seen on a chest x.. This 38 year old male was diagnosed with gallstone pancreatitis. The serous fluid allows the visceral and parietal pleura to slide over each other during respiration and creates surface tension between the two layers. Is a pleural effusion always dangerous? Because the pleural effusions were uneven and there was. The pleura are thin membranes that line the lungs and the inside of the chest cavity and act to lubricate and facilitate breathing.

Exudative pleural effusion, where the excess pleural fluid is high in protein is caused by blocked blood vessels or lymph vessels, inflammation, lung injury, and tumors. The term bilateral pleural effusion refers to the dysfunction of the lubricating fluid found between both lungs and the chest wall. Pleural effusion can be diagnosed on physical examination (percussion and auscultation). Allows for detection of fluid collections as. Pleural effusion refers to a buildup of fluid in the space between the lungs and the chest cavity.

Pleural Effusion Is Bilateral In 70 Of Cases Of Chf When Grepmed
Pleural Effusion Is Bilateral In 70 Of Cases Of Chf When Grepmed from img.grepmed.com
Standard initial imaging modality for detecting pleural effusion. Exudative = bilat/unilat leaky capillaries. This 38 year old male was diagnosed with gallstone pancreatitis. Post his diagnosis the doctors informed his family that he has bilateral pleural effusion (water in the lungs) and is now on oxygen support because of drop in oxygen saturation. It can result from pneumonia and many other conditions. The lack of specificity is mainly due to the limitations of the it is therefore especially difficult to identify similar sized bilateral effusions as the density of the lungs will be similar. Exudative pleural effusion, where the excess pleural fluid is high in protein is caused by blocked blood vessels or lymph vessels, inflammation, lung injury, and tumors. Transudative = bilateral effusions oncontic and hydrostatic pressures unbalanced.

The parietal pleura completely lines the inner chest wall surface of the thoracic cavity, inclusive of the bilateral medial mediastinum, the subcostal left and.

Among 200 thoracenteses performed with a bilateral procedure, seven resulted in pneumothoraces. If none is present the fluid is virtually always a transudate. Approximately 1 million people develop this abnormality each year in pleural effusion is the accumulation of fluid in the pleural space resulting from disruption of the homeostatic forces responsible for the movement of. Effusions as small as 50 ml can be visible in upright lateral cxr images, but conventional at the end of the procedure it is mandatory to perform a complete bilateral lung ultrasound scan to exclude.  cxr represents the first line imaging. Treatment depends on the cause. Bilateral pleural effusions have been associated with alprostadil (4). The term bilateral pleural effusion refers to the dysfunction of the lubricating fluid found between both lungs and the chest wall. Pleural effusion is an accumulation of fluid in the pleural cavity between the lining of the lungs and the thoracic cavity (i.e., the visceral and parietal pleurae). Is a pleural effusion always dangerous? Pleural effusion symptoms include shortness of breath or trouble breathing, chest pain, cough, fever, or chills. When you have a pleural effusion, fluid builds. Pleural effusion can be diagnosed on physical examination (percussion and auscultation).

Lateral decubitus view (most sensitive): In healthy lungs, these membranes ensure that a. Pleural effusion refers to a buildup of fluid in the space between the lungs and the chest cavity. The serous fluid allows the visceral and parietal pleura to slide over each other during respiration and creates surface tension between the two layers. If none is present the fluid is virtually always a transudate.

3
3 from
Allows for detection of fluid collections as. The parietal pleura completely lines the inner chest wall surface of the thoracic cavity, inclusive of the bilateral medial mediastinum, the subcostal left and. So pleural effusion is seen on a chest x. Confirmed by etimes, the doctor also said, but he is stable and not in the icu. Decreased intravascular oncotic pressure plus hypervolemia causing transudation into the pleural. Pleural fluid ldh > two thirds of upper limit for serum ldh. Bilateral malignant effusions occurred in 19 patients, were the most common single etiology of exudative effusions, and were associated with higher levels of protein and ldh in the pleural fluid. Pleural effusion is a condition in which excess fluid builds around the lung.

The pleura are thin membranes that line the lungs and the inside of the chest cavity and act to lubricate and facilitate breathing.

Allows for detection of fluid collections as. The differential diagnosis of bilateral pleural effusions is extensive. Pleural effusion symptoms include shortness of breath or trouble breathing, chest pain, cough, fever, or chills. Approximately 1 million people develop this abnormality each year in pleural effusion is the accumulation of fluid in the pleural space resulting from disruption of the homeostatic forces responsible for the movement of. The serous fluid allows the visceral and parietal pleura to slide over each other during respiration and creates surface tension between the two layers. Pleural fluid ldh > two thirds of upper limit for serum ldh. Is a pleural effusion always dangerous? Lateral decubitus view (most sensitive): Exudative = bilat/unilat leaky capillaries. Does it need to always be drained. An overview of pleural effusion including aetiology, clinical features (symptoms, signs), investigations and management options. In healthy lungs, these membranes ensure that a. Pleural fluid/serum ldh ratio >0.6.

The light criteria consist of measurement of the lactate dehydrogenase (ldh) and protein concentration in the bilateral effusions with an enlarged heart shadow are commonly caused by congestive cardiac failure. Pleural effusion is an accumulation of fluid in the pleural cavity between the lining of the lungs and the thoracic cavity (i.e., the visceral and parietal pleurae). Effusions as small as 50 ml can be visible in upright lateral cxr images, but conventional at the end of the procedure it is mandatory to perform a complete bilateral lung ultrasound scan to exclude. Because the pleural effusions were uneven and there was. An overview of pleural effusion including aetiology, clinical features (symptoms, signs), investigations and management options.

An Uncommon Cause Of Pleural Effusion European Respiratory Society
An Uncommon Cause Of Pleural Effusion European Respiratory Society from breathe.ersjournals.com
This 38 year old male was diagnosed with gallstone pancreatitis. The light criteria consist of measurement of the lactate dehydrogenase (ldh) and protein concentration in the bilateral effusions with an enlarged heart shadow are commonly caused by congestive cardiac failure. Because the pleural effusions were uneven and there was. Transudative = bilateral effusions oncontic and hydrostatic pressures unbalanced. The pleura are thin membranes that line the lungs and the inside of the chest cavity and act to lubricate and facilitate breathing. The term bilateral pleural effusion refers to the dysfunction of the lubricating fluid found between both lungs and the chest wall. Pleural effusions may result from pleural, parenchymal, or extrapulmonary disease. Pleural effusion refers to a buildup of fluid in the space between the lungs and the chest cavity.

Allows for detection of fluid collections as.

When you have a pleural effusion, fluid builds. If none is present the fluid is virtually always a transudate. If all goes well, he may be discharged in. The lack of specificity is mainly due to the limitations of the it is therefore especially difficult to identify similar sized bilateral effusions as the density of the lungs will be similar. The serous fluid allows the visceral and parietal pleura to slide over each other during respiration and creates surface tension between the two layers. From the department of respiratory medicine, royal hallamshire hospital The light criteria consist of measurement of the lactate dehydrogenase (ldh) and protein concentration in the bilateral effusions with an enlarged heart shadow are commonly caused by congestive cardiac failure. Post his diagnosis the doctors informed his family that he has bilateral pleural effusion (water in the lungs) and is now on oxygen support because of drop in oxygen saturation. Exudative = bilat/unilat leaky capillaries. So pleural effusion is seen on a chest x. Standard initial imaging modality for detecting pleural effusion. Ray, and after treatment (ie drainage), there should be a difference, however, if a cxr is taken day/ month. Pleural effusion can be diagnosed on physical examination (percussion and auscultation).

Heart failure, pneumonia) or a chronic the bts guidelines state that aspiration should not be performed for bilateral effusions in a clinical setting strongly suggestive of a transudate bilateral pleural effusion. Post his diagnosis the doctors informed his family that he has bilateral pleural effusion (water in the lungs) and is now on oxygen support because of drop in oxygen saturation.

Posting Komentar

0 Komentar